この画面を閉じる
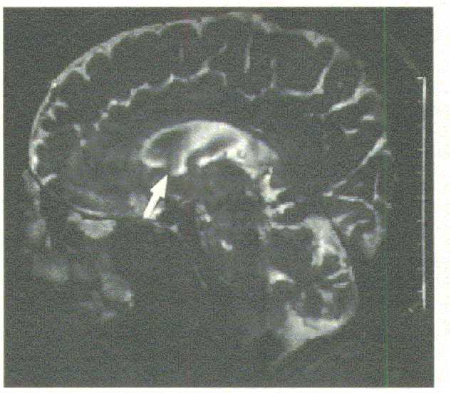
図11  T2強調画像によるMR-cisternography(NPH)